Комбинация: COLLOST micro и Ycellbio
СкачатьОблик №1, 2023
Инъекции препарата, гидратированного c помощью плазмы, обогащённой тромбоцитами и лейкоцитами, позволяют уплотнить кожу, осветлить тон лица, уменьшить гиперпигментацию, тёмные круги под глазами и выраженность рубцов, ускорить регенерацию.
Опубликовано в журнале Облик
Автор: Ромашкина Анастасия Сергеевна, к.м.н., врач-дерматовенеролог, косметолог, трихолог, физиотерапевт, г. Москва.

Введение
На сегодняшний день актуальны запросы пациентов по проведению процедур, направленных на уплотнение кожи, коррекцию выраженности морщин и рубцов, уменьшение покраснения, осветление пигментации.
Согласно современным концепциям, для достижения быстрого выраженного эффекта коррекции всей группы указанных эстетических изменений необходимо использование комбинированных процедур и методик.
Материалы и методы
Методика коллагенотерапии препаратом Collost® Micro позволяет создать коллагеновую матрицу, стимулируя синтез коллагена, повышая плотность и эластичность кожи, нивелируя глубину статических морщин, приподнимая атрофические рубцы и одновременно увлажняя кожу (благодаря технологии PoliONICol®, при применении которой за счёт процесса дезамидирования растёт число отрицательно заряженных функциональных групп на молекулах коллагена, что приводит к привлечению молекул воды к его волокнам и эффективной гидратации тканей дермы при введении коллагенового материала).
Препарат Collost® Micro содержит микрочастицы бычьего коллагена I типа с полностью сохранённой спиральной структурой, максимально приближенной к структуре коллагена человека, что сводит к минимуму возможный риск развития аллергических реакций. Благодаря отсутствию свойств избыточного притяжения воды препарат не вызывает и не усиливает отёчность, что позволяет использовать его для пациентов без привязки к типу старения, прорабатывать периорбитальную область вплоть до ресничного края глаза.
Использование препарата Collost® Micro позволяет решить следующие запросы пациентов:
- уплотнение кожи,
- коррекция морщин,
- работа с атрофическими рубцами,
- уплотнение кожи в области нижнего века,
- лифтинг с дополнительным эффектом увлажнения,
- подготовка к аппаратным методикам.
Гидратация препарата Collost® Micro проводится с помощью стерильного раствора натрия хлорида для инъекций 0,9 % или аутологичной плазмой крови пациента, полученной в стерильной пробирке, содержащей цитрат натрия в качестве антикоагулянта. Допускается использование стерильных аминокислот, микроэлементов и других стерильных компонентов, предназначенных для внутрикожного и подкожного введения при соблюдении правил асептики и антисептики. Регенеративная терапия аутологичной плазмой крови, полученной в системе Ycellbio, — это возможность использовать одновременно плазму, обогащённую тромбоцитами и лейкоцитами (LPRP), плазму, бедную тромбо цитами (PPP), и плазму, обогащённую факторами роста (PRGF).
LPRP — обогащённая в 4–6 раз тромбоцитами плазма, которая стимулирует выработку факторов роста, уменьшает воспаление (за счёт содержания лейкоцитов в лейкотромбоцитарном слое), ускоряет процесс регенерации, стимулирует синтез коллагена и осветляет пигментацию. РРР работает как аутологический мезококтейль, улучшающий состояние окружающей клетки среды. При смешивании LPRP и PPP получается PRGF, действие которой направлено на стимуляцию регенерации, нормализацию метаболизма в тканях и восстановление гомеостаза, что позволяет активно использовать данный продукт в коррекции гиперпигментации, постакне, рубцов [Табл. 1].
В зависимости от поставленных задач возможны следующие варианты применения регенеративной терапии Ycellbio:
- Проводим инъекции только LPRP — проработка проб лемных зон, инъекции в область воспаления, осветление очагов гиперпигментации, тёмных кругов под глазами, коррекция свежих рубцов.
- LPRP инъецируем в область указанных выше проблемных зон, PPP вводим поверх в технике наппаж или микропапульных инъекций по всей поверхности лица.
- Смешиваем LPRP и PPP и проводим инъекции полученной PRGF в технике папульных или линейных инъекций по всей поверхности лица.
- Выбираем 1 мл LPRP, инъецируя её согласно п. 1, остальное количество LPRP смешиваем с PPP, распределяя по всей поверхности лица полученную PRGF.

Табл. 1. Характеристика типов аутологичной плазмы, получаемой при помощи системы Ycellbio
Коллаген является естественным природным активатором процесса дегрануляции тромбоцитов, вызывая усиление выделения ими различных факторов роста. Благодаря этому данный белок может значительно усиливать терапевтическое действие аутологичной плазмы крови. Учитывая данное свойство коллагена, а также совместимость препарата Collost® Micro c плазмой крови, мы предложили использовать плазму, полученную в Ycellbio, для гидратации препарата.
С целью определения эффективности сочетанного применения коллагенотерапии Collost® Micro и регенеративной терапии Ycellbio было проведено пилотное исследование. Пациенты были разделены на две группы, по пять пациентов в каждой. I группа — пациенты, которым проводился сочетанный протокол с применением Collost® Micro, гидратированного препаратом плазмы крови, полученной в Ycellbio. II группа — пациенты, которым инъецировался препарат Collost® Micro, гидратированный стерильным раствором натрия хлорида для инъекций 0,9 %.
Пациенты были отобраны в однородные группы: возраст 35–45 лет, женщины, усталый или деформационноотёчный тип старения, тусклый цвет лица и/или наличие тёмных кругов под глазами, очагов гиперпигментации и атрофических рубцов постакне.
Протокол процедуры
На предварительно очищенную кожу был нанесён анестезирующий крем «Акриол Про» в виде аппликации на 20–30 минут.
I группа
Используемые препараты: Collost® Micro — 1 упаковка, Ycellbio Kit — 1 пробирка. Забор 13,5 мл крови, антикоагулянт цитрат натрия — 1,5 мл. Центрифугирование пробирки Ycellbio Kit на 3000 оборотах в течение восьми минут. Забор из пробирки 2 мл LPRP и 1,5 мл PPP, смешиваем для получения 3,5 мл PRGF.




Рис. 1. Показатели пациентов I группы.
Гидратация Collost Micro в 1,5 мл 0,9 % раствора NaCl, 3,5 мл PRGF.
II группа
Используемые препараты: Collost® Micro — 1 упаковка. Гидратация Collost® Micro в 5,0 мл 0,9 % раствора NaCl. Инъекции проводились в микропапульной технике равномерно по всей поверхности лица с интервалом между точками инъекций 0,5 мм. В периорбитальной и периоральной областях, в области очагов гиперпигментации препарат инъецировали на расстоянии 0,2 мм. В области рубцов проводили линейные инъекции и методику сепарации рубцов. Количество процедур — три, интервал между процедурами — три недели.
Результаты терапии
Результат процедур оценивался с помощью аппаратов Aramo MC (определение показателей увлажнённости кожи) и Miravex Antera (оценка глубины рубцов, гиперпигментации, сосудов). Также проводилось фотодокументирование (до и через три недели после курса процедур) и опрос удовлетворённости пациентов по шкале GAIS. Клинически пациенты оценивались по следующим параметрам: изменение тона кожи, осветление гиперпигментации, уменьшение глубины рубцов, уплотнение кожи, лифтинг. У пациентов обеих групп отмечалось уменьшение глубины рубцов и уплотнение кожи, однако у пациентов I группы результат появлялся быстрее.
Через три недели у пациентов I группы отмечался результат в виде осветления кожи, появления эффекта сияния, он нарастал в результате процедур и сохранялся через три недели после третьей процедуры. Пациенты описывали данный результат как эффект фотошопа. Также у пациентов I группы отмечалось осветление очагов гиперпигментации на 2–3 тона в результате курса процедур.




Рис. 1. Показатели пациентов II группы.
По данным Aramo MC, показатели увлажнённости до процедур варьировались от 21,5 до 35,5 в обеих группах. После курса процедур в обеих группах отмечалось повышение показателей увлажнённости в среднем на 30 %, достигая уровня от 29,0 до 46,15.
По данным Miravex Antera, в I группе отмечалось уменьшение содержания гемоглобина в среднем на 52–65 %, что говорит о снижении насыщения кожи поверхностными сосудами. Это свидетельствует в пользу эффективности методики при лечении пациентов с постакне, гиперпиг ментацией, поствоспалительными пятнами.
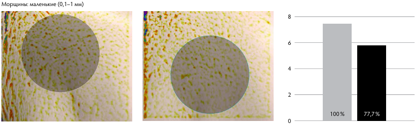
Также отмечалось уменьшение содержания меланина на 15–25 %, отражая эффективность методики в коррекции гиперпигментации различного генеза. Более того, было выявлено улучшение текстуры кожи на 22–27 %, снижение глубины морщин на 20–30 %, что клинически проявлялось в уменьшении глубины морщин и уплотнении тканей.
У пациентов II группы, по данным Miravex Antera, уменьшение содержания гемоглобина отмечалась в среднем на 15–21 %, меланина — на 1–5 %, улучшение текстуры кожи — на 18–25 %, снижение глубины морщин на 15–27 %, что сопоставимо с результатами пациентов I группы. По данным GAIS, у пациентов I группы отмечается удовлетворённость результатами процедуры на три балла, со стороны врача — тоже на три балла. У пациентов II группы пациенты расценивают результат на 2,4 балла, врач — на 2,4 балла.

Фото 1. Пациент — женщина, 37 лет. Проведён курс процедур препаратом Collost Micro, гидратированным Ycellbio. А–с — до курса процедур, d–f — через 84 дня.

Фото 2. Пациент — женщина, 38 лет. Проведён курс процедур препаратом Collost Micro, гидратированным 0,9 % раствором NaCl. А–с — до курса процедур, d–f — через 84 дня
Заключение
Проведённый статистический анализ показал существенное улучшение общей клиникоэстетической картины лица в обеих группах пациентов, однако сочетание двух методик в одной процедуре позволяет добиться более быстрого эффекта. Данный протокол подходит для любого типа старения, проводится курсами по три процедуры с интервалом в три недели, два курса в год. При необходимости (в частности наличии выраженных рубцов постакне) количество процедур можно увеличить.